
Bečki program transplantacije pluća je u međunarodnom konzorciju stručnjaka iz SAD-a, Evrope i Azije vodeći u svijetu. Do sada je prema bečkom programu uspješno provedeno 40 transplantacija pluća kod covid pacijenata u svijetu, a na Medicinskom univerzitetu u Beču 12.
Četrdesetčetverogodišnja Bečlijka je u maju 2020. godine bila prva pacijentica u Evropi kojoj je nakon teške kliničke slike Covid-om i potpunog otkazivanja pluća urađena transplantacija pluća. U momentu transplantacije PCR test je pokazao postojanje virusnih čestica, ali one nisu smatrane zaraznim.
- Naravno da takav jedan složeni zahvat dolazi u obzir samo kod onih pacijenata koji zbog godina starosti i općeg povoljnog zdravstvenog stanja imaju dobre šanse za oporovak - objašnjava Konrad Hötzenecker, voditelj renomiranog bečkog programa za transplantaciju pluća Medicinskog univerziteta i Opće bolnice u Beču, koji se sa 100 transplantacija pluća godišnje zajedno sa onim iz Toronta, Clevelanda i Hannovera ubraja u najveće transplantacione programe u svijetu.
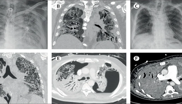
Za transplantaciju moraju biti ispunjeni kriteriji: iscrpljenost svih konzervativnih opcija terapije, izostanak oporavka pluća oštećenih Covid- 19 unatoč četverosedmičnoj terapiji podrške disanju putem ECMO (izvantjelesna membranska oksigenacija) aparata, potvrda o uznapredovalom i nepovratnom oštećenju oba plućna krila u nekoliko uzastopnih pregleda CT aparatom, starost ispod 65 godina i nepostojanje relevantnih popratnih oboljenja.
Kandidati nadalje moraju biti dobrog općeg stanja ili sa realnim šansama za potpuni tjelesni oporavak, saopćio je Eurocomm-PR Sarajevo.
(Vijesti.ba / FENA)